今回も膀胱結石による尿道閉塞を起こした症例を紹介します。
昨日の夕方から嘔吐をしてフラフラ歩きグッタリとしているということで来院しました。
問診ではおしっこをしているかははっきりわからないということでした。
超音波で確認すると膀胱がおしっこで膨らんで、尿道も拡張しており尿道閉塞が疑われました。
血液検査でも腎臓の数値がとても悪くなっており尿道閉塞による急性の腎障害と考えられました。

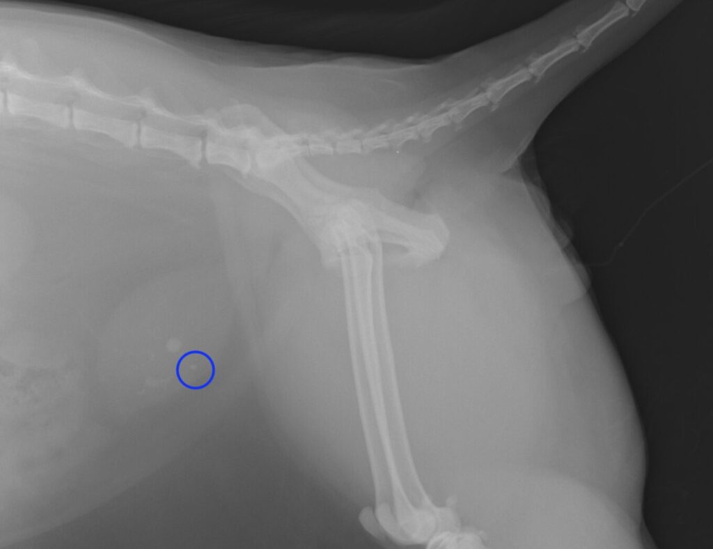
*青枠;尿道に詰まっている小さな石です。

まず鎮静をかけてカテーテうで尿道の石を膀胱へ押し返しました。その後、1日点滴をして
腎臓の値が下がってきているのを確認して手術を行いました。
手術は特に大きな問題なく、術後数日でカテーテルを外し、自然におしっこが出るのを
確認して退院としました。


今回の症例も石の種類はシュウ酸カルシウムと診断されました。
再発をなるべくしないようにドライフードをふやかしてもらい
定期的な検査をお勧めしました。
同じような症状でお困りの方は
あわの動物病院(岐阜市岩崎332-1)までご相談ください。
📞 058-236-1025(9:00-12:00/16:00-19:00)